Протезирование зубов - это восстановление или замена собственных зубов особыми конструкциями, зубными протезами, которые изготавливаются в зуботехнической лаборатории

Существует несколько вариантов изготовления коронок. Цена на протезирование зависит от многих факторов: выбора зуботехнической лаборатории (материальное оснащение и уровень подготовки техника), материалов изготовления коронки, временных затрат на изготовление, применения оптики, лицевой дуги, ретракции десны, внутри ротовых фото, использования временных коронок и т.д.
Варианты изготовления коронок
Стандарт
Премиум
Премиум +
Основные виды протезирования

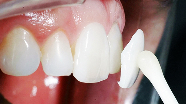
1. Керамические виниры - это тонкие накладки на зубы, изготовленные в зуботехнической лаборатории, которые наклеиваются на зубы для изменения цвета и формы зубов.

2. Цирконивая коронка - один из лучших вариантов для протезирования. Циркониевые коронки гипоаллергенны и биосовместимы. Они максимально схожи с натуральными зубами и имеют долгий срок службы.

3. Металлокерамическая коронка - один из самых оптимальных вариантов всоотношении цена/качество. При изготовлении металлокерамических коронок на основу из металла наносится керамическое покрытие, похожее на настоящую эмаль. Это прочные и долговечные коронки, стоимость которых дешевле циркониевых коронок.
Современные технологии используют пресс-керамику, а также эстетичные конструкции, каркасы которых не содержат металла (оксид циркония, оксид алюминия). Технологии CAD/CAM стали неотъемлемой частью стоматологии. Изготовление зуботехнических конструкций по технологии CAD/CAM позволяет проводить протезирование с максимальной точностью, при условии минимизации вмешательства в организм человека. Такой подход в медицине работает на сохранение здоровья полости рта пациентов.
В стоматологическом центре Стомагарант применяются современные технологии протезирования с использованием лицевой дуги и артикуляторов Amann Girrbach (Германия) и SAM (Германия).
Артикулятор — это механический прибор, с помощью которого возможно воспроизвести любые движения нижней челюсти: закрывание, открывание, движения вперёд, назад и в стороны.


Артикулятор позволяет делать комплексные работы любой сложности! Контроль обработки зубов и точности прилегания конструкции роизводится с применением увеличения бинокуляров и микроскопа.
Большое значение для герметичности конструкции имеет применение лучших материалов для фиксации.



